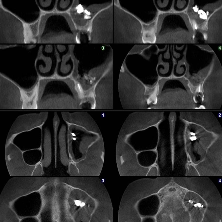
Комп'ютерна томографія
Щелепно-лицева діагностика
На обладнанні нового покоління
На обладнанні нового покоління
Лікарям та клінікам
Шановні лікарі та представники стоматологічних клінік!
Мережа діагностичних центрів "МАЙРЕЙ ЛАБ" забезпечує точну та надійну діагностику
щелепно-лицевої ділянки з мінімальним ризиком для пацієнтів.
Ми використовуємо найсучасніше обладнання відомого виробника PLANMECA, що дозволяє отримувати високоякісні зображення за короткий час. Крім того, ми маємо власний сервер, на якому створюємо окрему скриньку для кожного лікаря, що забезпечує максимальну зручність та ефективність роботи.
Наша команда має великий досвід у діагностиці що дозволяють проводити точну діагностику
та вчасне виявлення проблем.
Ми розуміємо, наскільки важлива для вас швидкість та точність в діагностичному процесі,
тому пропонуємо послуги, які не тільки забезпечують високу якість діагностики, але й
дозволяють отримувати результати в найкоротші терміни.
Ми готові до довгострокової та взаємовигідної співпраці з вами та вашою клінікою. Ми надаємо індивідуальний підхід та стежимо за тим, щоб наші послуги відповідали вимогам та потребам кожного нашого клієнта.
Jsme připraveni k dlouhodobé a vzájemně prospěšné spolupráci s Vámi a vaším pracovištěm. Poskytujeme individuální přístup a snažíme se aby, naše služby splňovaly vysoké požadavky a potřeby každého z našich klientů.








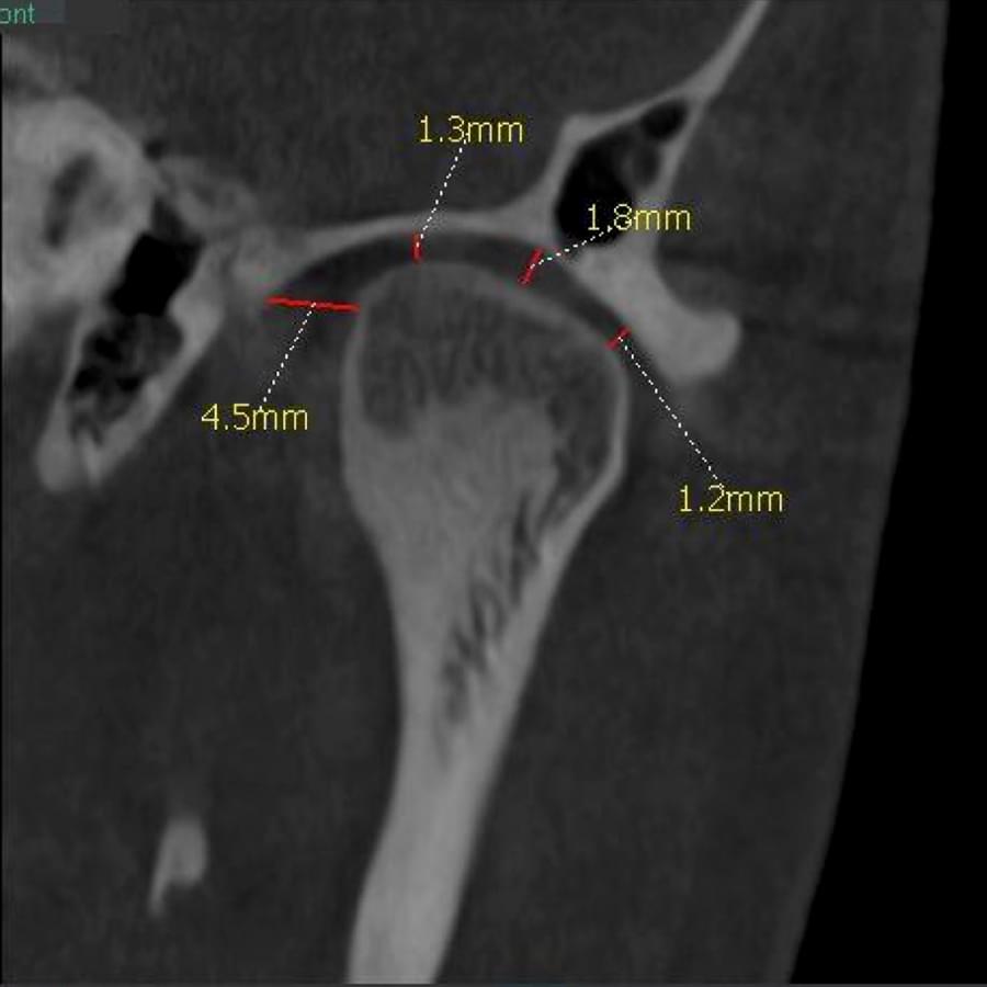
3D цефалометричний аналіз є сучасною технологією, яка дозволяє отримувати точніші,
комплексніші та надійніші дані про зубну та скелетну структуру. Ця технологія може стати
великим кроком в перед для ортодонтів, які хочуть забезпечити найкраще можливе лікування
своїх пацієнтів.
Основні переваги 3D цефалометричного аналізу:
Точність: 3D цефалометричний аналіз забезпечує точніше визначення розмірів та відстаней між
зубами та кістковими структурами.
Комплексність: ця технологія дозволяє отримувати детальні дані про різні структури, такі як
кістка та м'язи, що дозволяє ортодонтам докладніше досліджувати деякі патології та планувати
лікування.
Надійність: 3D цефалометричний аналіз дозволяє отримувати надійніші результати, оскільки
виключає можливість помилок, пов'язаних зі спотворенням або перекриттям зображень.
Оскільки 3D цефалометричний аналіз - це досить нова технологія, вона все ще не доступна в
усіх клініках та ортодонтічних практиках. Крім того, вона може вимагати додаткової
підготовки та спеціалізованого обладнання. Однак, завдяки своїм перевагам, вона стає все
більш популярною та знаходить застосування в ортодонтичній практиці.



Ми використовуємо найсучасніше обладнання відомого виробника PLANMECA, що дозволяє отримувати високоякісні зображення за короткий час. Крім того, ми маємо власний сервер, на якому створюємо окрему скриньку для кожного лікаря, що забезпечує максимальну зручність та ефективність роботи.